Logo da Empresa Blog HemoClass

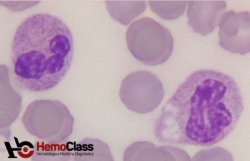
Leucemia Mieloide Aguda m1

Warning: strtotime(): It is not safe to rely on the system's timezone settings. You are *required* to use the date.timezone setting or the date_default_timezone_set() function. In case you used any of those methods and you are still getting this warning, you most likely misspelled the timezone identifier. We selected the timezone 'UTC' for now, but please set date.timezone to select your timezone. in /home/hemocla/public_html/site/blog.php on line 179

Warning: date(): It is not safe to rely on the system's timezone settings. You are *required* to use the date.timezone setting or the date_default_timezone_set() function. In case you used any of those methods and you are still getting this warning, you most likely misspelled the timezone identifier. We selected the timezone 'UTC' for now, but please set date.timezone to select your timezone. in /home/hemocla/public_html/site/blog.php on line 179
25/01/2019
|  
A leucemia mielóide aguda subtipo m1 é uma situação morfológica que já apresenta alguma evidencia de componente mielóide nas células leucêmicas. Entretanto, não é tão fácil assim esse reconhecimento, pois ainda se trata de uma leucemia aonde a mutação acontece em uma célula bastante indiferenciada.   Os blastos apresentam nucléolo bem delimitado, com esboço de granulação citoplasmática, podendo apresentar vacúolos. Os bastonetes de auer podem ser vistos neste subtipo, mas não é comum de se encontrar. A tríade leucêmica é um achado importante do hemograma.   É uma leucemia que acomete preferencialmente adultos, costuma ter prognóstico razoável e corresponde a 20% dos casos de LMA, sendo que nas provas complementares, se espera mais de 3% dos blastos com positividade para mieloperoxidase e sudam black B.   Uma possível confusão morfológica pode acontecer entre os blastos desta leucemia com os blastos da LLA l2, e também com a LMA m5a   Os critérios diagnósticos para confirmação definitiva da LMA m1 são: Blastos > do que 30% das células nucleadas da medula óssea, e blastos > 90% das células não eritróides da medula óssea. Positividade para MPO e SBB maior que 3% (blastos) Componente granulocítico (células da linhagem granulocítica) em maturação <10% das células não eritróides da medula óssea. Componente monocítico (promonócito, etc...) <10% das células não eritróides da medula óssea. Imunofenótipo => pelo menos 3 marcadores descritos: CD13, CD33, CD34, CD7, CD4, CD11b e HLA-DR CASO CLÍNICO  O caso em questão apresenta um caso de uma mulher, 28 anos, fazendo exame de rotina. Eri: 2,51 / Hb: 8,0 / VG: 24,01 / VCM: 96 / HCM: 32 / CHCM: 33 / Leucócitos: 10.050 / PLT: 75.000   O aparelho liberou uma contagem de 57% de monócitos. Ao revisar a lâmina, se encontrou vários blastos, que correspondiam à contagem de monócitos do aparelho.   Embora a tríade leucêmica não esteja presente, a morfologia sugere uma leucemia indiferenciada, mas com alguns aspectos mielóides.   A imunofenotipagem confirmou os marcadores da LMA m1.   Veja algumas fotos abaixo da lâmina deste caso.
Mieloma Multiplo

Warning: strtotime(): It is not safe to rely on the system's timezone settings. You are *required* to use the date.timezone setting or the date_default_timezone_set() function. In case you used any of those methods and you are still getting this warning, you most likely misspelled the timezone identifier. We selected the timezone 'UTC' for now, but please set date.timezone to select your timezone. in /home/hemocla/public_html/site/blog.php on line 179

Warning: date(): It is not safe to rely on the system's timezone settings. You are *required* to use the date.timezone setting or the date_default_timezone_set() function. In case you used any of those methods and you are still getting this warning, you most likely misspelled the timezone identifier. We selected the timezone 'UTC' for now, but please set date.timezone to select your timezone. in /home/hemocla/public_html/site/blog.php on line 179
15/01/2019
|    #Leucemia  #Hematoscopia  #exames
Mieloma múltiplo Corresponde a 1% de todos os tipos de câncer e 10% de todas as neoplasias hematológicas, afetando principalmente paciente idosos, com pico de incidência entre os 60 e 70 anos. Essa doença caracteriza-se pela proliferação clonal e descontrolada de plasmócitos maduros na medula óssea, o que resulta na produção de uma proteína monoclonal (proteína "M"), geralmente uma imunoglobulina ou fragmento da mesma, que pode ser identificada no sangue (pico monoclonal na eletroforese de proteínas), na urina proteína de bence Jones ou em ambos os locais. Quanto ao componente monoclonal o detalhamento diagnóstico é realizado rotineiramente com imunofixação de proteínas no sangue na urina dosagem de imunoglobulinas e técnicas  mais recentes como a detecção de cadeias leves livres no soro (Freelite), caso este recurso esteja disponível. As principais manifestações iniciais da doença são anemia, dor óssea e infecçoes. Ao diagnóstico, o hemograma revela apenas anemia normocítica e normocrômica, com leve tendência a macrocitose, na maioria dos pacientes. Além disso, a presença de hiperparaproteinemia torna comum a observação do fenômeno de Rouleaux eritrocitário(empilhamento de hemácias) no esfregaço de sangue periférico. Vale ressaltar que os plasmócitos, geralmente abundantes na medula óssea, só são vistos no sangue periférico nos casos avançados. O mieloma múltiplo é uma doença ainda é incurável com tratamento convencional, sendo que o transplante de medula óssea autogênico ainda constitui a melhor opção terapêutica nos pacientes apto a realização do procedimento. Créditos: Dr. Valber de Freitas Matias / Flavio Naoum
Esferocitos e o Hemograma

Warning: strtotime(): It is not safe to rely on the system's timezone settings. You are *required* to use the date.timezone setting or the date_default_timezone_set() function. In case you used any of those methods and you are still getting this warning, you most likely misspelled the timezone identifier. We selected the timezone 'UTC' for now, but please set date.timezone to select your timezone. in /home/hemocla/public_html/site/blog.php on line 179

Warning: date(): It is not safe to rely on the system's timezone settings. You are *required* to use the date.timezone setting or the date_default_timezone_set() function. In case you used any of those methods and you are still getting this warning, you most likely misspelled the timezone identifier. We selected the timezone 'UTC' for now, but please set date.timezone to select your timezone. in /home/hemocla/public_html/site/blog.php on line 179
26/11/2018
|    #Padronização  #Hematoscopia  #exames
Esferócitos: O eritrócito normalmente possui a forma de um disco bicôncavo, apresentando um halo central e uma distribuição de hemoglobina na zona periférica. Alterações em sua forma são sugestivas de doenças e devem ser, sempre que presentes, relatadas no hemograma. Os esferócitos tem as concavidades reduzidas, atingindo um formato esférico. Não possuem o halo central mais claro, e ainda pode ser visto como hemácia com tamanho relativamente menor do que as hemácias normais. Diferentemente do que muitos pensam o esferócito NÃO é exclusivo da esferocitose hereditária. Qualquer quadro de hemólise pode induzir a formação de esferócito. A presença de esferócitos juntamente com aumento do CHCM pode, desta forma, sugerir um quadro de esferocitose hereditária. Como relatar: Deve ser visto a quantidade de esferócitos por campo e quantificar em cruzes (+,++,+++,++++), ou de forma discreta, moderada e intensa. O que significa: Um quadro de hemólise tanto intra quanto extravascular.
Linfocitos Reativos na Coqueluche

Warning: strtotime(): It is not safe to rely on the system's timezone settings. You are *required* to use the date.timezone setting or the date_default_timezone_set() function. In case you used any of those methods and you are still getting this warning, you most likely misspelled the timezone identifier. We selected the timezone 'UTC' for now, but please set date.timezone to select your timezone. in /home/hemocla/public_html/site/blog.php on line 179

Warning: date(): It is not safe to rely on the system's timezone settings. You are *required* to use the date.timezone setting or the date_default_timezone_set() function. In case you used any of those methods and you are still getting this warning, you most likely misspelled the timezone identifier. We selected the timezone 'UTC' for now, but please set date.timezone to select your timezone. in /home/hemocla/public_html/site/blog.php on line 179
05/11/2018
|    #Leucograma
A coqueluche, conhecida como tosse espasmódica, é uma doença imunoprevenível de grande importância na infância, que pode levar a complicações graves, inclusive com óbito. A Bordetella pertussis é o agente etiológico da coqueluche mais frequente, e este se instala nas células epiteliais ciliadas da nasofaringe, proliferando e produzindo uma série de toxinas, que são responsáveis pela manifestação clínica da doença. Vários outros agentes etiológicos podem determinar apresentação clínica semelhante, conhecida por síndrome pertussis, como alguns tipos de adenovírus, Mycoplasma pneumoniae, Chlamydia trachomatis, Chlamydia pneumoniae, além da Bordetella bronchiseptica. O homem é o único hospedeiro da Bordetella pertussis. O diagnóstico baseia-se na suspeita clínica de surtos de tosse paroxística seguida de espasmos e vômitos, associada à presença de leucocitose (acima de 20.000 céls./mm3), com linfocitose reativa. A leucocitose pode chegar a valores de 100.000 leucócitos. Uma característica importante nos linfócitos reativos da coqueluche é o formato do núcleo, que apresenta uma fissura, indentação ou fenda, também chamado de núcleo lobulado ou pleomórfico.
Neutrofilo Hipersegmentado

Warning: strtotime(): It is not safe to rely on the system's timezone settings. You are *required* to use the date.timezone setting or the date_default_timezone_set() function. In case you used any of those methods and you are still getting this warning, you most likely misspelled the timezone identifier. We selected the timezone 'UTC' for now, but please set date.timezone to select your timezone. in /home/hemocla/public_html/site/blog.php on line 179

Warning: date(): It is not safe to rely on the system's timezone settings. You are *required* to use the date.timezone setting or the date_default_timezone_set() function. In case you used any of those methods and you are still getting this warning, you most likely misspelled the timezone identifier. We selected the timezone 'UTC' for now, but please set date.timezone to select your timezone. in /home/hemocla/public_html/site/blog.php on line 179
16/10/2018
|    #Leucograma  #Hematoscopia  #exames
Sabe aquele neutrófilo que parece estar “passando mais tempo na balada do que deveria”? Pois é, ele está aí, com um comportamento um pouco fora do normal, e é a partir disso que surgem as alterações hematológicas que precisamos identificar e relatar. O neutrófilo hipersegmentado é uma célula que circula por mais tempo do que o esperado na corrente sanguínea, o que faz com que sua lobulação (as “orelhas” que ele tem) fique exagerada, como se estivesse tentando se destacar em uma multidão. Isso acontece por um problema na produção de neutrófilos, que, ao invés de serem rapidamente retirados da circulação, acabam ficando mais tempo no sangue periférico e acabam com lobos a mais. Como Identificar o Neutrófilo Hipersegmentado? Por um bom tempo, a definição de neutrófilo hipersegmentado exigia que um neutrófilo tivesse 7 lobos ou 2 neutrófilos com 6 lobos para que a alteração fosse considerada. No entanto, novas orientações mais recentes estabeleceram um padrão mais simples: qualquer neutrófilo com 6 ou mais lobos já é considerado hipersegmentado! Isso mesmo, se você encontrar apenas um neutrófilo com 6 lobos, já é suficiente para identificar a alteração. Critérios de Identificação: Antes: Era necessário ter neutrófilo com 7 lobos ou dois neutrófilos com 6 lobos para identificar a hipersegmentação. Agora: Qualquer neutrófilo com 6 ou mais lobos já configura a alteração, sem a necessidade de uma contagem exata. Como Liberar o Laudo? Você não precisa contar quantos neutrófilos apresentam esse comportamento. Apenas relatar a presença de neutrófilos hipersegmentados já é o suficiente para a liberação do laudo. E vale destacar que o termo "desvio à direita", que era utilizado antigamente para descrever essa alteração, caiu em desuso. Portanto, o que importa é simplesmente observar a presença desses neutrófilos e registrar no laudo. O Que Essa Alteração Significa? Agora, vamos ao "por que" dessa bagunça. Quando você se depara com neutrófilos hipersegmentados, está diante de um problema na produção dessas células. Esse quadro é comumente associado a anemia megaloblástica, que ocorre por deficiência de folato ou vitamina B12. Nesse contexto, a medula óssea encontra dificuldades para realizar as mitoses (divisão celular), afetando todas as linhagens celulares, como hemácias e neutrófilos. Mas não é só isso! Neutrófilos hipersegmentados também podem aparecer em casos de síndromes mielodisplásicas e em pacientes em tratamento quimioterápico com antagonistas do ácido fólico. Um ponto importante: esses neutrófilos não são reativos! Isso significa que, embora antigos relatos tentassem associar a hipersegmentação a infecções virais, essa relação não é verdadeira. Conclusão  Entender e identificar neutrófilos hipersegmentados pode parecer um desafio, mas com o conhecimento certo, isso se torna uma tarefa fácil. Se você quer aprimorar suas habilidades e aprender como reconhecer, relatar e relacionar TODAS as alterações hematológicas com precisão e segurança, não deixe de conhecer o Curso Hematologia Prática. Com esse curso, você vai destravar os segredos da hematologia de alto nível e se tornar um especialista em hemogramas de alta complexidade. Clique aqui para descobrir o que você precisa para elevar sua prática hematológica ao próximo nível! https://hemoclasscursos.com.br/hematologia-pratica-b/
Vacúolos em citoplasma de neutrófilos e monócitos

Warning: strtotime(): It is not safe to rely on the system's timezone settings. You are *required* to use the date.timezone setting or the date_default_timezone_set() function. In case you used any of those methods and you are still getting this warning, you most likely misspelled the timezone identifier. We selected the timezone 'UTC' for now, but please set date.timezone to select your timezone. in /home/hemocla/public_html/site/blog.php on line 179

Warning: date(): It is not safe to rely on the system's timezone settings. You are *required* to use the date.timezone setting or the date_default_timezone_set() function. In case you used any of those methods and you are still getting this warning, you most likely misspelled the timezone identifier. We selected the timezone 'UTC' for now, but please set date.timezone to select your timezone. in /home/hemocla/public_html/site/blog.php on line 179
02/10/2018
|  
Vacúolos em citoplasma de neutrófilo   A orientação da semana é sobre este achado extremamente importante na hematologia. Os vacúolos em citoplasma de neutrófilo são indicativos de sepse. Os neutrófilos fagocitam principalmente bactérias, e uma vez nos tecidos, não voltam mais ao sangue periférico, o que nos faz concluir que os vacúolos em neutrófilos são reflexos de uma fagocitose no próprio sangue periférico, ou seja, sepse.   Como liberar: Não é necessário quantificar nem citar tamanhos como alguns fazem por ai. Basta a seguinte observação no laudo: Presença de vacúolos em citoplasma de neutrófilos. Se houver pouco ou bastante a interpretação é a mesma.   O que significa: Sepse – O ideal é partir para hemocultura com a presença deste achado.   PROBLEMA: O sangue quando em contato por mais de 2 horas com o EDTA pode induzir artefatos como os vacúolos, pois os neutrófilos passam a fagocitar o EDTA. Ou seja, os vacúolos só têm valor se a lâmina for feita no momento da coleta, como acontece em todos os serviços de hematologia de excelência.     Vacuolização de citoplasma de monócitos.   Os monócitos são células mononucleadas que podem exibir vacúolos no seu citoplasma e também no núcleo. Estes vacúolos não apresentam significado clínico, pois a célula com atividade fagocítica da linhagem é o macrófago, ao qual o monócito se diferenciará depois de migrar aos tecidos.   Como relatar: não deve ser relatado pois não possui significado clínico   Dica: dificilmente os linfócitos formam vacúolos, sendo que estes podem auxiliar na identificação do monócito caso haja alguma dúvida.   OBS: nem sempre os monócitos aparecem vacuolizados, então essa dica se aplica somente nas vezes em que isso acontece.
Páginas: <    4     5     6     7     8     9     10     11     12     13     14     >
(45) 99902-3030
contato@hemoclass.com.br