Logo da Empresa Blog HemoClass

  TAG: #Leucemia

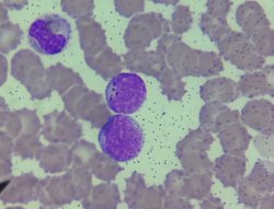
Mieloma Multiplo

Warning: strtotime(): It is not safe to rely on the system's timezone settings. You are *required* to use the date.timezone setting or the date_default_timezone_set() function. In case you used any of those methods and you are still getting this warning, you most likely misspelled the timezone identifier. We selected the timezone 'UTC' for now, but please set date.timezone to select your timezone. in /home/hemocla/public_html/site/blog.php on line 179

Warning: date(): It is not safe to rely on the system's timezone settings. You are *required* to use the date.timezone setting or the date_default_timezone_set() function. In case you used any of those methods and you are still getting this warning, you most likely misspelled the timezone identifier. We selected the timezone 'UTC' for now, but please set date.timezone to select your timezone. in /home/hemocla/public_html/site/blog.php on line 179
15/01/2019
|    #Leucemia  #Hematoscopia  #exames
Mieloma múltiplo Corresponde a 1% de todos os tipos de câncer e 10% de todas as neoplasias hematológicas, afetando principalmente paciente idosos, com pico de incidência entre os 60 e 70 anos. Essa doença caracteriza-se pela proliferação clonal e descontrolada de plasmócitos maduros na medula óssea, o que resulta na produção de uma proteína monoclonal (proteína "M"), geralmente uma imunoglobulina ou fragmento da mesma, que pode ser identificada no sangue (pico monoclonal na eletroforese de proteínas), na urina proteína de bence Jones ou em ambos os locais. Quanto ao componente monoclonal o detalhamento diagnóstico é realizado rotineiramente com imunofixação de proteínas no sangue na urina dosagem de imunoglobulinas e técnicas  mais recentes como a detecção de cadeias leves livres no soro (Freelite), caso este recurso esteja disponível. As principais manifestações iniciais da doença são anemia, dor óssea e infecçoes. Ao diagnóstico, o hemograma revela apenas anemia normocítica e normocrômica, com leve tendência a macrocitose, na maioria dos pacientes. Além disso, a presença de hiperparaproteinemia torna comum a observação do fenômeno de Rouleaux eritrocitário(empilhamento de hemácias) no esfregaço de sangue periférico. Vale ressaltar que os plasmócitos, geralmente abundantes na medula óssea, só são vistos no sangue periférico nos casos avançados. O mieloma múltiplo é uma doença ainda é incurável com tratamento convencional, sendo que o transplante de medula óssea autogênico ainda constitui a melhor opção terapêutica nos pacientes apto a realização do procedimento. Créditos: Dr. Valber de Freitas Matias / Flavio Naoum
LMA com corpos de PHI

Warning: strtotime(): It is not safe to rely on the system's timezone settings. You are *required* to use the date.timezone setting or the date_default_timezone_set() function. In case you used any of those methods and you are still getting this warning, you most likely misspelled the timezone identifier. We selected the timezone 'UTC' for now, but please set date.timezone to select your timezone. in /home/hemocla/public_html/site/blog.php on line 179

Warning: date(): It is not safe to rely on the system's timezone settings. You are *required* to use the date.timezone setting or the date_default_timezone_set() function. In case you used any of those methods and you are still getting this warning, you most likely misspelled the timezone identifier. We selected the timezone 'UTC' for now, but please set date.timezone to select your timezone. in /home/hemocla/public_html/site/blog.php on line 179
24/09/2018
|    #Leucemia  #Hematoscopia  #exames  #HemoClass Leucemias
Visualização de Corpos de Phi em Leucemia Mielóide Aguda: Relato de um Caso. 1MERISIO, Paulo Roberto       Artigo publicado no CBAC - 2013 Introdução: Assim como bastonetes de Auer, os corpos de Phi são visualizados em células precursoras mielóides na LMA, e patognomônicos desta doença. Estas partículas são mais numerosas e vistas com maior frequência que os bastonetes de Auer e podem ser identificadas com a coloração usual de Romanovsky e melhor evidenciadas na coloração da mieloperoxidase, sendo que nesta coloração os corpos de Phi são mais proeminentes que os bastonetes de Auer na coloração de Romanovsky. Estas inclusões são derivadas da catalase, diferente dos bastonetes de Auer que são derivados de peroxidases dos grânulos primários. Os corpos de Phi estão presentes em maior intensidade na LMA ativa, e seu aparecimento auxilia na diferenciação desta doença da LLA e LMC em crise blástica. Em casos de cloroma, evidencia-se os corpos de Phi na coloração da mieloperoxidase tanto no tumor fixado quanto nas células derivvadas de derrame pleural, e auxiliam o diagnóstico na ausência de outras manifestações da LMA. Não se tem relatos de observação destes corpos em outras doenças ou em indivíduos normais. A monitoração da visualização dos corpos de Phi podem ajudar na orientação clínica da leucemia, pois diminuiram com a melhora do quadro clínico e também reapareceram na reincidiva da doença, em pacientes que estavam em remissão completa. Paciente e Métodos: O caso relata um paciente masculino, 19 anos, com queixas de cansaço, tonturas, epistaxe e sangramento gengival. Clinicamente observa-se petéquias na superfície dos braços. O hemograma revela uma anemia leve, uma leucocitose (53.600/µL) e uma trombocitopenia (76.000/µL). A contagem diferencial revela 38 blastos, 8 linfócitos, 35 bastonetes e 17 segmentados, com numerosos grânulos arredondados com características de corpos de Phi no citoplasma dos blastos. O paciente foi encaminhado para exames confirmatórios e diagnosticado definitivamente com LMA m2 através da imunofenotipagem e citogenética. Conclusão: Sugere-se que a observação de blastos com corpos de Phi seja um forte indicador para o diagnóstico de Leucemia Mielóide Aguda, não descartando a necessidade de imunofenotipagem e citogenética para o diagnóstico definitivo e caracterização do subtipo da LMA.
A CIVD na LPA

Warning: strtotime(): It is not safe to rely on the system's timezone settings. You are *required* to use the date.timezone setting or the date_default_timezone_set() function. In case you used any of those methods and you are still getting this warning, you most likely misspelled the timezone identifier. We selected the timezone 'UTC' for now, but please set date.timezone to select your timezone. in /home/hemocla/public_html/site/blog.php on line 179

Warning: date(): It is not safe to rely on the system's timezone settings. You are *required* to use the date.timezone setting or the date_default_timezone_set() function. In case you used any of those methods and you are still getting this warning, you most likely misspelled the timezone identifier. We selected the timezone 'UTC' for now, but please set date.timezone to select your timezone. in /home/hemocla/public_html/site/blog.php on line 179
17/09/2018
|    #Leucemia  #Hematoscopia  #exames  #HemoClass Leucemias
A CIVD na LPA   Vários casos de leucemia promielocítica aguda (LMA m3 / LPA) cursam com evolução para Coagulação Intravascular Disseminada. Isso acontece geralmente no início do processo, pela saída dos pró-mielócitos neoplásicos da medula óssea. Estas células possuem uma certa rigidez, por isso a saída delas é difícil e também a LPA clássica se apresenta, na maioria das vezes, com leucopenia.   A circulação dos pró-mielócitos neoplásicos é o que ativa o sistema de coagulação. Estas células passam a liberar granulação primária na circulação, e isso ativa fator VII e também plaquetas via FvW. Neste contexto se inicia o processo de formação de fibrina e agregação plaquetária. Como a distribuição destas células é uniforme por toda a circulação, o processo de coagulação acontece de modo disseminado, caracterizando a CIVD.   Desta forma acontece consumo dos fatores da coagulação, o que explica o prolongamento do TAP e do TTP, mesmo em processo trombótico, e também o consumo de plaquetas. As plaquetas estão diminuídas não só pelo consumo da CIVD, mas também pela diminuição de sua produção na medula óssea, devido ao processo leucêmico. Um bom marcador nestas situações é o D-dímero, que se espera aumentado. Esta molécula é um produto da degradação da fibrina formada e esta presente em processos de trombose, tromboembolismo e situações de ativação da coagulação.   O processo de CIVD é o que leva o paciente com LPA procurar o serviço de saúde, e nestes casos acaba sendo feito o diagnóstico, o qual depende de um serviço de hematologia de credibilidade e com profissionais capacitados para identificar o quadro e sugerir os caminhos corretos da investigação.   Em breve lançaremos o nosso curso ONLINE HemoClass LEUCEMIAS, que abordará todos os aspectos de todos os subtipos de leucemias. Fique por dentro de todas as novidades deste curso cadastrando seu email no link abaixo:   http://4b686a1.contato.site/cadastrohemoclassleucemia
Bastonete de Auer

Warning: strtotime(): It is not safe to rely on the system's timezone settings. You are *required* to use the date.timezone setting or the date_default_timezone_set() function. In case you used any of those methods and you are still getting this warning, you most likely misspelled the timezone identifier. We selected the timezone 'UTC' for now, but please set date.timezone to select your timezone. in /home/hemocla/public_html/site/blog.php on line 179

Warning: date(): It is not safe to rely on the system's timezone settings. You are *required* to use the date.timezone setting or the date_default_timezone_set() function. In case you used any of those methods and you are still getting this warning, you most likely misspelled the timezone identifier. We selected the timezone 'UTC' for now, but please set date.timezone to select your timezone. in /home/hemocla/public_html/site/blog.php on line 179
27/08/2018
|    #Leucemia  #Padronização  #Hematoscopia  #HemoClass Leucemias
Em nossa página, todas as vezes que postamos um blasto com presença de bastonte de auer, alguém de imediato já sugere LMA m3. Em nossos cursos práticos também esse fato acontece. O que é isso? São inclusões citoplasmáticas compostas de mieloperoxidase e enzimas lisossomais. Nada mais do que agrupamento de grânulos azurrófilos que estão presentes nos blastos das leucemias mielóides agudas. Geralmente estão em forma de agulhas, mas podem aparecer com formato arredondado, e neste caso, são denominados corpos de Phy. Na leucemia mielóide aguda m3, ou simplesmente leucemia prómielocitica aguda, podem aparecer células repletas de bastonetes de auer, as quais são chamadas fagot cells.    Entretanto algumas situações precisam ser esclarecidas referentes ao bastonete de Auer: Bastonete de auer é patognomônico de LMA, ou seja, sempre que houver bastonete de auer, estamos diante de uma LMA. Nem toda LMA possui bastonete de Auer. Esta inclusão pode aparecer na LMA M1, M2, M3 e M4, mais raramente na M5, ou seja, ele não é exclusividade da LMA m3. Este achado é extremamente importante para o diagnóstico das leucemias, e quando não encontrado, é importante que se relate o seguinte: Bastonetes de auer não foram encontrados durante a hematoscopia. Em colorações rápidas, dificilmente os bastonetes de auer serão visualizados. Somente BLASTOS possuem bastonetes de Auer, outras células com inclusões parecidas, as mesmas não devem ser consideradas como bastonetes de auer. Leucemia Linfóide Aguda JAMAIS apresentará bastonetes de auer nos linfoblastos.   Com estas informações fica mais fácil direcionar nosso trabalho quando estivermos frente à um quadro sugestivo de leucemia aguda.   Essas situações serão todas comentadas no curso HemoClass Leucemias, que está com inscrições fechadas no momento.    Tem interesse em nosso curso? Faça seu cadastro na lista de espera clicando AQUI, e seja avisado assim que as inscrições abrirem!!! http://8afd56e.contato.site/listadeesperahemoclassleucemiasaabr  
Linfoma de Células do Manto e os Linfócitos com Cara de Animais

Warning: strtotime(): It is not safe to rely on the system's timezone settings. You are *required* to use the date.timezone setting or the date_default_timezone_set() function. In case you used any of those methods and you are still getting this warning, you most likely misspelled the timezone identifier. We selected the timezone 'UTC' for now, but please set date.timezone to select your timezone. in /home/hemocla/public_html/site/blog.php on line 179

Warning: date(): It is not safe to rely on the system's timezone settings. You are *required* to use the date.timezone setting or the date_default_timezone_set() function. In case you used any of those methods and you are still getting this warning, you most likely misspelled the timezone identifier. We selected the timezone 'UTC' for now, but please set date.timezone to select your timezone. in /home/hemocla/public_html/site/blog.php on line 179
26/03/2018
|    #Leucemia  #Hematoscopia  #Sindromes  #exames
O Linfoma de Células do Manto (LCM) é classificado como linfoma não-Hodgkin, originário de linfócitos B de centros pré-germinativos de folículos linfáticos ou da região do manto, de folículos linfáticos secundários. Representa 5% de todos os linfomas e até 10% de todos os linfomas não Hodgkin, sendo mais comuns em homens com idade média de 60 anos. Geralmente, quando diagnosticado, já se encontra acometendo os gânglios linfáticos, medula óssea e baço.   Apesar de 50 a 70% dos pacientes responderem bem ao tratamento, o linfoma frequentemente volta um ou dois anos após a quimioterapia. O tempo médio de sobrevivência é de aproximadamente 3 anos. Apenas 5 a 10% dos pacientes sobrevivem mais de 10 anos após o diagnóstico.   Tem como causa um componente genético que é uma translocação não aleatória entre o cromossomo 11 e o cromossomo 14, o que gera um oncogene produtor da proteína ciclina D1, que inclusive auxilia no diagnóstico. Estudos apontam que esta translocação pode ser causada por pesticidas, tintas e oncovírus, como o htlv-1.   LABORATÓRIO: Apresenta geralmente anemia. Neutropenia e trombocitopenia acontecem se já houver acometimento da medula óssea. A característica hematológica mais marcante são células linfoides na extensão apresentando endentações, esboço de nucléolos, muitas vezes se assemelhando à “caras de animais”, conforme imagens deste artigo. Estas alterações geralmente vêm acompanhadas de uma discreta linfocitose.   O diagnóstico definitivo é feito pela imunofenotipagem, imunohistoquímica e FISH.    
O Laboratório na LLC

Warning: strtotime(): It is not safe to rely on the system's timezone settings. You are *required* to use the date.timezone setting or the date_default_timezone_set() function. In case you used any of those methods and you are still getting this warning, you most likely misspelled the timezone identifier. We selected the timezone 'UTC' for now, but please set date.timezone to select your timezone. in /home/hemocla/public_html/site/blog.php on line 179

Warning: date(): It is not safe to rely on the system's timezone settings. You are *required* to use the date.timezone setting or the date_default_timezone_set() function. In case you used any of those methods and you are still getting this warning, you most likely misspelled the timezone identifier. We selected the timezone 'UTC' for now, but please set date.timezone to select your timezone. in /home/hemocla/public_html/site/blog.php on line 179
01/03/2018
|    #Leucemia  #Hematoscopia  #exames
As Leucemias são situações neoplásicas que costumeiramente aparecem no laboratório de diversas formas possíveis. Dentre os subtipos de leucemias se encontra a Leucemia Linfóide Crônica - LLC. É uma leucemia que acomete preferencialmente idosos acima dos 55 anos, e traz alguns achados bem característicos na hematoscopia do paciente.   Nesta leucemia, por ser crônica, se encontra basicamente duas morfologias linfocitárias que são pró-linfócito e linfócito. Muitas vezes os pró-linfócitos não são identificados, sendo contados como linfócitos. É necessário que estas células sejam identificadas para uma sugestão diagnóstica mais clara. O pró-linfócito costuma se diferenciar por apresentar um ou dois nucléolos bem evidentes em seu núcleo, além de uma cromatina um pouco mais frouxa que a do linfócito.   Outro achado importante são as manchas de Gumprecht. Nesta leucemia os linfócitos circulantes demoram mais tempo para entrar em apoptose, e por ficarem velhos, ficam mais frágeis. Neste contexto, ao fazer a extensão sanguínea, estas células mais velhas arrebentam, sendo expressas como manchas de Gumprecht na hematoscopia.   A tríade leucemia (Leucocitose+anemia+trombocitopenia) geralmente não acontece nesse tipo de leucemia. Aqui existe um acúmulo de células maduras, que é o que causa a leucocitose, diferentemente das leucemias agudas aonde a proliferação medular é o ponto central do processo. Na grande maioria das vezes encontramos leucocitose isolada ou associado ou à anemia ou à trombocitopenia de forma leve.   Trocando em miúdos: Se você achar uma leucocitose às custas de uma linfocitose na lâmina, com presença de pró-linfócitos e manchas de Grumprecht fica esperto. Associando isso à  idade avançada do paciente, pode ser um forte indício de LLC. Outro ponto é a linfocitose persistente por mais de 4 semanas sem causa aparente.   Embora seja uma leucemia, a LLC não costuma ser tão agressiva quanto as LMAs, e muitas vezes é diagnosticada em exames de rotina com o paciente assintomático. Mas de qualquer forma deve ser feito o mielograma e os exames para confirmação do quadro.   Gostou de nosso conteúdo? Se inscreve ai abaixo e receba em seu email as novidades aqui do Super Blog HemoClass!!!
Páginas: <    1     2     3     4     5     >
(45) 99902-3030
contato@hemoclass.com.br