< Voltar

SMD em tranformação

SMD em tranformação
Nem sempre o churrasco está na churrascaria!!!
 
Esse caso clínico comprova que nem sempre os quadros complicados hematológicos são descobertos em pacientes com sintomatologia característica. As vezes a situação vem de onde menos esperamos!!!
 
Paciente 23 anos, masculino, em acompanhamento com Tricologista. Sem sintomas aparentes.
 
Hemograma:
Eri: 2,69 / Hb: 9,0 / VG: 26,8 / VCM: 99,6 / HCM: 33,5 / CHCM: 33,6 / RDW: 16,8
 
Plaquetas: 125.000
 
Dif. Aparelho:
Neut: 29,7 / Linf: 18,2 / mono: 39,1 / eo: 0,05 / baso: 0,12 / IG: 12,3
 
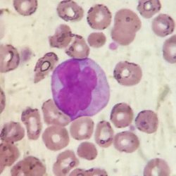
A lâmina chega a nos assustar pela morfologia dos monócitos. São praticamente todos com tamanho aumentado e alto pleomorfismo nuclear. Também encontra-se muitos granulócitos com assincronismo de maturação, além de blastos.
 
O diferencial manual:
Blasto: 13 / promonócito: 2 / monócito: 29 / mielócito: 2 / metamielocito: 2 / bastonete: 5 / segmentado: 27 / linfócito: 18 / linfócito reativo: 2
 
VEJA AS FOTOS!
 
As observações do laudo:
- Presença de vários monócitos anômalos, com tamanho aumentado e intenso pleomorfismo nuclear.
- Presença de assincronismo maturativo na linhagem neutrofílica.
- Blastos de tamanho grande, moderada relação N/C, núcleo com cromatina frouxa, nucléolos evidentes, citoplasma levemente basofílico, alguns com intensa granulação.
- Presença de 4 eritroblastos em 100 células contadas.
- Policromasia moderada

 
Um caso que assusta pela quantidade de blastos, que, em uma coloração ruim ou com algum analista inseguro, poderia passar batido, e o diagnóstico ser negligenciado. Quando alguma coisa parece estranha na lâmina, ela é estranha!
 
Esses sinais de displasia levam a pensar em uma Síndrome Mielo Displásica, e essa quantidade de blastos faz pensar em uma SMD em transformação para Leucemia Mielóide Aguda, provavelmente m4 (que é uma SMD), ou m5, pensando na quantidade e morfologia de monócitos.
 
A mielodisplasia tem essa característica. Assincronismo, maturação anômala, células com morfologia esquisita, estranha aos nossos olhos. Um hemograma bem feito é o diferencial tanto no diagnóstico quanto no acompanhamento do paciente.
 
Veja que as observações do hemograma são objetivas. Ninguém falou sobre a anemia ou leucocitose, visto que os números já falam sobre isso!
Gostou do nosso conte�do?
Cadastre-se para receber nossos conte�dos exclusivos.
< Voltar
(45) 99902-3030
contato@hemoclass.com.br