< Voltar

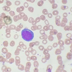
Linfócitos Reativos

Linfócitos Reativos
Os linfócitos reativos (LR) devem ser definidos e relatados no laudo mesmo que em quantidades baixas. Crianças até 4 anos possuem uma quantidade maior de linfócitos e a presença de LR é esperada. Desta forma deve-se relatar estas células mesmo que o paciente seja um RN ou uma criança.

A nomenclatura foi padronizada para LINFÓCITOS REATIVOS, pois vários nomes eram utilizados para definição da mesma célula, dentre eles linfócitos atípicos.

Existem vários tipos de LR, mas os subtipos levam à mesma interpretação clínica, não sendo necessária sua descrição como morfoloia I, II, III, GLG, etc. 

Os critérios para reconhecimento dos LR são definidos e trazem uma segurança na identificação morfológica celular.

Todos os detalhes da classificação, caracterização e interpretação dos LR, além de um mini atlas, você encontra no e-book Linfócitos Reativos para Analistas Clínicos,  disponível no link abaixo:

https://payment.hotmart.com/X5966042R?checkoutMode=10
 

 
Gostou do nosso conte�do?
Cadastre-se para receber nossos conte�dos exclusivos.
< Voltar
(45) 99902-3030
contato@hemoclass.com.br