< Voltar

Linfócito reativo em crianças: por que é um achado normal (e como interpretar sem pânico)

#Leucograma #Padronização #Hematoscopia #exames

Linfócito reativo em crianças: por que é um achado normal (e como interpretar sem pânico)

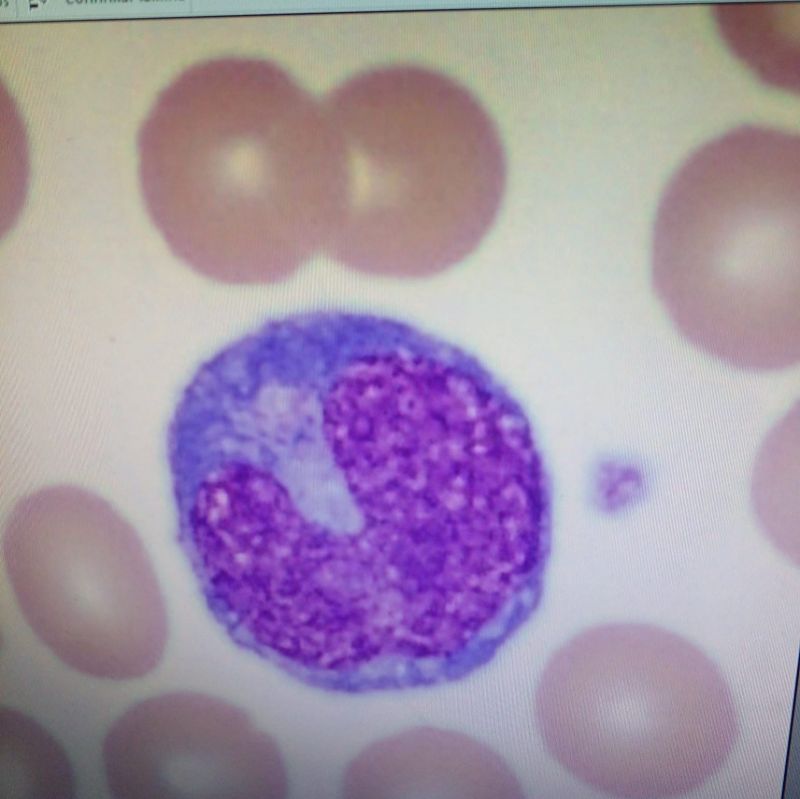
O que é um linfócito reativo?

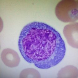
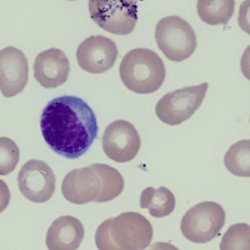
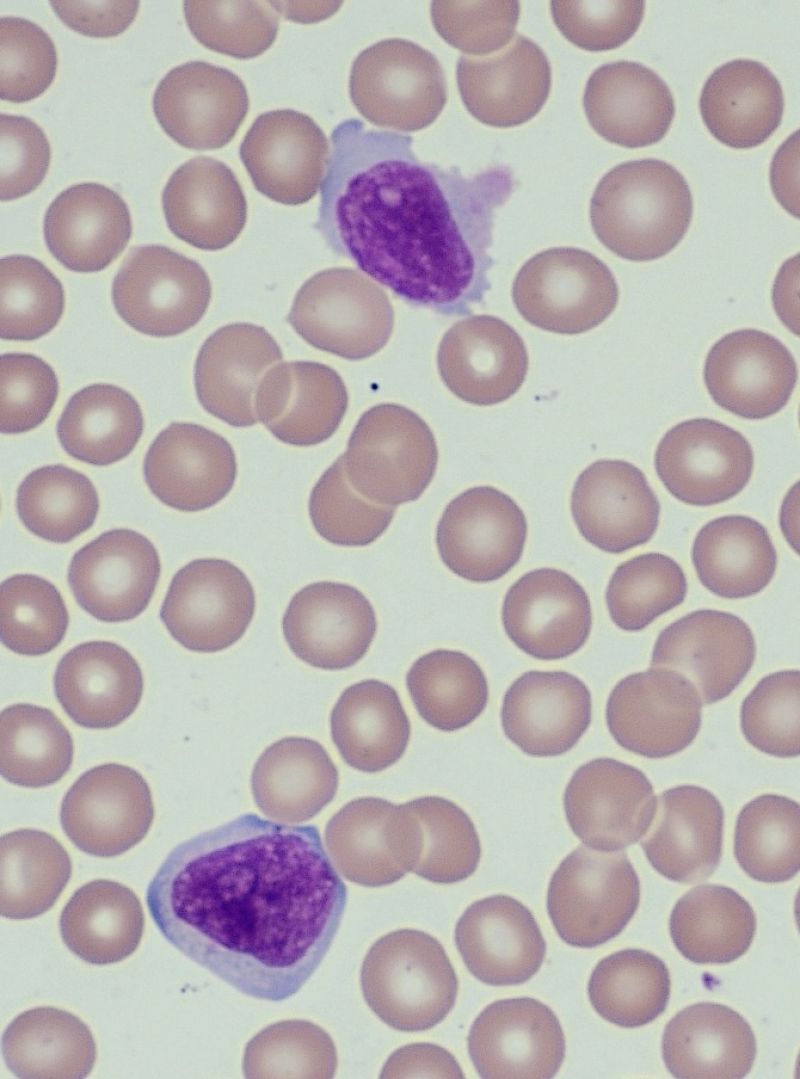
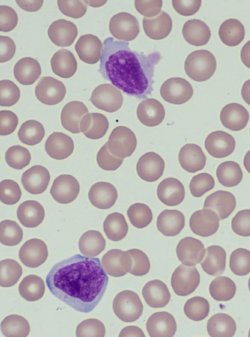
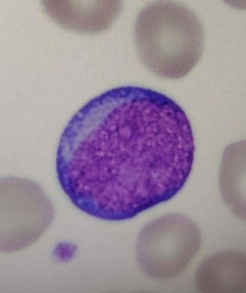
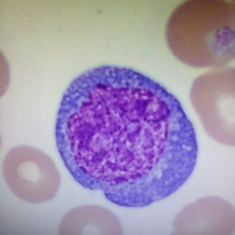
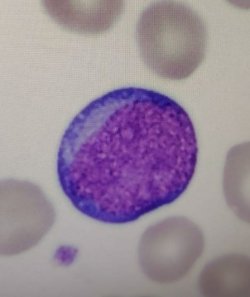
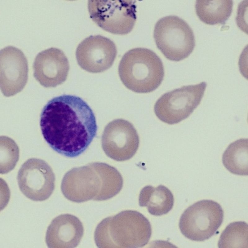
É um linfócito que “ganhou corpo” após ativação antígeno–anticorpo. Essa ativação leva a alterações morfológicas (citoplasma mais amplo e basofílico, contorno irregular, às vezes nucléolo evidente) e funcionais (produção de anticorpos, citocinas etc.). Em outras palavras: é o linfócito fazendo o seu trabalho.


Por que aparecem tanto em crianças?

  • Exposição constante a antígenos novos: cada vacina, infecção banal e contato ambiental apresenta “novos cartões de visita” ao sistema imune.

  • Maturação imunológica acelerada: nos primeiros anos, há uma verdadeira “academia” para linfócitos B e T.

  • Janela etária típica: do nascimento até ~3,5–4 anos, é comum ver LR no esfregaço.

Resumo prático: em pediatria, encontrar LR é normal e esperado. Um hemograma de uma criança de ~2 anos completamente “estéreo” de LR pode, inclusive, levantar sobrancelhas — sempre dentro do contexto clínico.


Como interpretar no hemograma

1) Não olhar só para a contagem total

LR podem aparecer com leucócitos normais. “Só libero LR quando há leucocitose” é um erro. Contexto é rei: quadro clínico, diferencial leucocitário, morfologia.

2) Valor absoluto vs. percentual

Relate percentual e, quando possível, o valor absoluto. Pequenos percentuais em amostras com linfocitose típica da infância ainda são condizentes com fisiologia.

3) Descrição morfológica ajuda o clínico

Se o laboratório utiliza microscopia, vale caracterizar brevemente (p. ex.: “linfócitos com citoplasma basofílico amplo, contorno irregular, compatíveis com reatividade”). Evite termos alarmistas.


Quando o LR não é só fisiologia? (sinais de alerta)

Embora raro, há contextos que pedem atenção e correlação clínica:

  • Citopenias associadas (anemia, trombocitopenia relevantes)

  • Aparência atípica não compatível com reatividade usual (suspeita de blastos)

  • Sintomas sistêmicos importantes (perda ponderal, febre prolongada, sangramentos, linfonodomegalias exuberantes)

  • Padrões persistentes e desproporcionais sem explicação clínica (ex.: LR altos por longos períodos, fora de infecções/vacinas)

Nesses cenários, o caminho é discutir com o pediatra, considerar repetição do exame, revisão do esfregaço e, se indicado, investigação direcionada.


Erros comuns (e como evitá-los)

  1. Nunca “liberar” LR em crianças

Errado. Em crianças pequenas, LR são comuns. Omiti-los prejudica a leitura do caso.

  1. Só “liberar” LR quando há leucocitose

Errado. LR podem aparecer com leucócitos normais. O achado é morfológico/funcional, não depende da contagem total.

  1. Laudo genérico, sem contexto

Melhor: incluir observações curtas e úteis (“achado compatível com faixa etária/reatividade imunológica”, “correlacionar com quadro clínico”).


Boas práticas para laboratórios e profissionais

  • Padronize critérios de identificação e relato de LR (checklists morfológicos ajudam).

  • Comunique “sem drama”: use linguagem clara e educativa no comentário do laudo.

  • Integre com a clínica: se houver sinal de alerta, destaque e sugira correlação/seguimento.

  • Eduque pais/cuidadores: quando houver contato direto, explique que LR é, na maioria, “sinal de defesa”, não de gravidade.

Exemplo de comentário de laudo (sugestão):

“Presença de linfócitos reativos, achado comum na faixa etária pediátrica e compatível com resposta imune. Correlacionar com quadro clínico. Sem outras atipias relevantes no esfregaço.”


Para pais e cuidadores: uma explicação simples

Linfócito reativo” significa que células de defesa do seu filho foram ativadas — geralmente por contato com vírus, bactérias, vacinas ou outros estímulos normais nesta fase da vida. Na grande maioria dos casos, não é motivo de pânico. O médico avalia o resultado junto com os sintomas e com o restante do exame.


Perguntas frequentes (FAQ)

1) LR é sinal de infecção grave?
Na maioria das vezes, não. É um marcador de resposta imune, comum em resfriados, pós-vacina e outras exposições benignas.

2) Precisa repetir o hemograma por causa de LR?
Depende do contexto. Se a criança está bem e o restante do hemograma está ok, geralmente não.

3) LR vira “câncer de sangue”?
LR não são blastos. São células maduras ativadas. Preocupações com hematopatias surgem por conjunto de achados (morfologia suspeita, citopenias, clínica), não por LR isolado.

4) Existe “valor normal” de LR?
Relata-se presença e percentual; não há um “valor de referência” universal — o importante é a interpretação contextual (idade, clínica, demais parâmetros).


Principais aprendizados

  • Em crianças (RN → ~4 anos), linfócito reativo = achado esperado.

  • Não condicione o relato de LR à presença de leucocitose.

  • Descreva e contextualize: ajuda o pediatra e evita alarmes desnecessários.

  • Fique atento aos sinais de alerta para diferenciar reatividade fisiológica de situações que pedem investigação.

    No HemoClass LAN você entenderá DEFINITIVAMENTE as alterações hematológicas com base na fisiopatologia de cada alteração/processo. 
    O LAN é disparado a MELHOR FORMAÇÃO em hematologia do mercado!

Gostou do nosso conte�do?
Cadastre-se para receber nossos conte�dos exclusivos.
< Voltar
(45) 99902-3030
contato@hemoclass.com.br