< Voltar

Leucemia Promielocitica Aguda variante Hipogranular

#Leucemia #Padronização #Hematoscopia #exames #HemoClass Leucemias

Leucemia Promielocitica Aguda variante Hipogranular
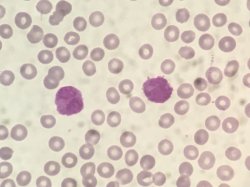
A LPAv (Leucemia Promielocítica Aguda variante hipogranular), assim como a LPA, é uma neoplasia hematológica decorrente da translocação entre o cromossomo 15 e o cromossomo 17. Esta translocação faz acontecer um gene quimérico (PML - RARα), que expressa uma oncoproteína que é um receptor para o ácido retinóico, fazendo com que a célula mutada estacione na fase de pró-mielócito e perca sua capacidade de maturação, e aumente a sua capacidade de proliferação.
 
Leucopenia costuma ser frequente na LPA, com vários blastos granulares e também células com numerosos bastonetes de auer, chamadas de faggot cells. A leucopenia acontece pelo fato dos pró-mielócitos terem uma certa rigidez, e isso dificulta a sua saída da medula óssea. Esses pró-mielócitos anômalos acabam por ser ativadores da cascata da coagulação, quando fazem a liberação de sua granulação na corrente circulatória, fazendo CIVD logo no início da liberação das células para o sp, outro fator que explica a leucopenia, visto que assim que os pró-mielócitos começam a sair da medula óssea, a CIVD já acontece, levando o paciente à procurar o serviço de saúde.
 
Já na sua variante hipogranular, as células acabam tendo uma mobilidade maior, e a CIVD não é tão evidente quanto na LPA. Embora a causa e a fisiopatologia seja a mesma, este subtipo variante não apresenta tantas granulações e bastonetes de auer, embora os mesmos possam ser vistos em quantidades moderadas.
 
A variante hipogranular da LPA representa, em média, 4% dos casos das LMA (Leucemias Mielóides Agudas), acometendo principalmente adultos jovens.
 
No hemograma da LPAv, se espera encontrar a tríade leucêmica com leucocitose ou hiperleucocitose. Os blastos apresentam formato reiniforme, com aspecto semelhante a “asas de borboletas”, ou formato de alteres. Os bastonetes de auer geralmente são encontrados, e acabam facilitando a sugestão diagnóstica, juntamente com a morfologia dos blastos.
 
Em 2016, a OMS propôs uma nova classificação, e essas leucemias, que no grupo FAB correspondiam à LMA m3 e m3v, passaram a corresponder à um subtipo próprio, desvinculado das LMAs, sendo sugerido que se utilize a nomenclatura LPA e LPAv.

Saiba mais sobre este e todos os outros subtipos de leucemia no melhor treinamento online sobre Leucemia do Brasil!!! 
Um curso que realmente vai te deixar afiado para encarar essas alterações morfológicas!!!


Agora o curso está com inscrições encerradas, mas muito em breve abrirá uma nova turma!!


 
Gostou do nosso conte�do?
Cadastre-se para receber nossos conte�dos exclusivos.
< Voltar
(45) 99902-3030
contato@hemoclass.com.br