< Voltar

A importância do prólinfócito

#Leucemia #Leucograma #Padronização

A importância do prólinfócito
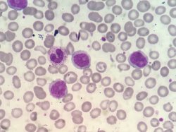
O prólinfócito é uma célula intermediária entre linfoblasto e linfócito maduro, apresenta uma cromatina moderadamente densa (entre densa e frouxa), com um nucléolo grande e proeminente.

Essa célula DEVE ser contada na diferencial, pois os critérios de classificação entre LLC classica, LLC prolinfocítica, LLC mista e Leucemia prolinfocítica crônica usam a contagem de prolinfócitos para sua definição!

Muitos analistas somente relatam a presença dessas células nas observações do hemograma, e este fato complica o médico hematologista para a classificação correta da leucemia. A maior aplicação dela é a distinção entre leucemia linfóide crônica e leucemia prólinfocítica crônica. Ambas possuem um perfil particular de imunofenotipagem, e com o direcionamento correto da morfologia, o diagnóstico se torna mais precoce.
 
Gostou do nosso conte�do?
Cadastre-se para receber nossos conte�dos exclusivos.
< Voltar
(45) 99902-3030
contato@hemoclass.com.br