< Voltar

65 BASÓFILOS

#Leucemia #Leucograma #Padronização #exames

65 BASÓFILOS
Esse caso vem do Laboratório São Lucas - Cáceres - MT, que é assessorado pela HemoClass.
 
Paciente com diagnóstico de Leucemia Mielóide Crônica, em controle terapêutico com Hidroxiuréia, faz hemograma de acompanhamento:
 
Eritrograma:
Eri: 3,1 / Hb: 10,9 / VG: 31,1 / VCM: 100 / HCM: 34,8 / CHCM: 34,7 / RDW: 12,7
 
Leucócitos totais: 49.880
Diferencial automatizado:
Linfócitos: 40 / Basófilos: 10 / Bastonetes: 50 - Flag de Blasto
 
Plaquetas: 33.000
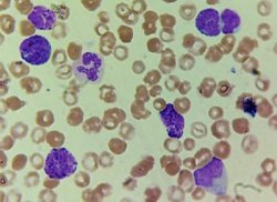
Ao se analisar a lâmina, porém, a realidade é outra, totalmente diferente!
 
Muitos basófilos e alguns blastos. Veja nas fotos!
 
A contagem diferencial ficou bem diferente do aparelho:
Blasto: 1 / Meta: 1 / Bast: 2 / Seg: 15 / Eos: 1 / Linfo: 18 / Mono: 2 / Basófilos: 65
 
A contagem de basófilos foi revista e confirmada. Embora a LMC costume cursar com basofilia, dificilmente chega a um valor tão alto!
 
Também não vemos o escalonamento evidente, característico dessa leucemia. Outra situação interessante é a trombocitopenia, já que na LMC o esperado é trombocitose.
 
A questão do paciente estar em tratamento pode explicar muitos desses índices, mas a contagem de basófilos se relaciona com um prognóstico ruim.
 
Essa contagem de basófilos foi reportada imediatamente ao médico, que, juntamente com os dados clínicos e monitoramento molecular, vai decidir e adequar a terapêutica.
Gostou do nosso conte�do?
Cadastre-se para receber nossos conte�dos exclusivos.
< Voltar
(45) 99902-3030
contato@hemoclass.com.br